-
-
2021.06.22 健康中国面对面——2021 高考之学医梦,医学情!
又是一年高考季,疫情后,医学专业的填报热度达到了前所未有的高度,站在人生的第一个十字路口,考生们该如何选择?丁香人才邀请三位过来人共话 2021 高考之学医梦,医学情!
-
-
2021.05.20 从医院到企业 全科医生转身成「职场健康守门人」
5 月 19 日,全球迎来第 11 个「世界家庭医生日」。对于世界各地所有奋战在基层医疗战线的医疗工作者来说,这是特殊的日子。图源:站酷海洛「家庭医生」的称谓源自 20 世纪 60 年代的美国,代指那
-
-
2021.03.17 顽固性腹水难道真的就只是酒精性肝硬化这么简单吗?
患者,男,69 岁,既往长期饮酒史,因「反复腹胀 1 月余」于 2020-07-31 入院。患者 1 月余前无明显诱因下出现腹胀,伴纳差、乏力,无发热、腹痛等不适,于外...
-
-
2021.03.12 80+ 公立医院急招岗位:提供编制,部分不限学历
本周丁香人才汇总了全国26 省市最新招聘岗位,点击医院名称即可查看该院全部在招岗位,还能直接投递,点击地区入口即可查看在招单位。点击医院名称,即可投递☟☟☟◆...
-
-
2021.03.11 一例剧情反转的淋巴结肿大病例
患者,男,46 岁,广西人,因「发现颈部淋巴结肿痛 1 月余」于 2020-06-08 入院。患者 1 月余前无明显诱因下出现颈部淋巴结肿痛,无发热等不适,未重视,后感...
-
-
2021.02.03 远远看别人杀了一次鸭子,怎么就得重症肺炎了呢?
患者,女,52 岁,既往体健,因「乏力 20 余天,发热伴干咳、胸闷 10 余天」于 2021-01-07 入我科
-
-
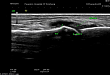
2021.01.07 新郑市人民医院肌骨超声——痛风诊断与治疗的听诊器
没有规律的疼痛,时高时低的尿酸值,不太明确的诊断,怎么办?下面带您了解痛风诊断与治疗的听诊器——肌骨超声。病例分享 1男,52 岁,左足大母脚趾处疼痛难忍 1 天来我院内分泌科就诊,既往曾有血尿酸增高
-
-
2020.12.31 潜在杀手:HIV 相关隐球菌性脑膜炎
隐球菌病是由隐球菌引起的机会性感染,与获得性免疫缺陷综合征(AIDS)密切相关。隐球菌属包括17个种和18个变种,其中新生隐球菌是本病最主要的病原菌。隐球菌性脑膜炎...
-
-
2020.12.31 古希腊神话与导尿管堵塞
病例简介80 老年男性,COPD、呼吸衰竭、脑梗塞后,气管切开,长期卧床并长期保留导尿。现无发热,咳嗽轻,目前主要治疗是吸氧、鼻饲营养支持、吸痰保持呼吸道通畅等。...
-
-
2020.12.23 发热半月余的骨髓肉芽肿,病原会是什么呢 ?
病情介绍患者,女,68 岁,江西省上饶市人,因「反复发热半月余」于 2015-11-16 入院
